Glimlachen is besmettelijk.
De wetenschap heeft al meerdere keren aangetoond dat het zien van een glimlach bij een ander, automatische een reactie oproept. Een glimlach, gemeend of niet, activeert bepaalde gezichtsspieren die de hersenen vertellen dat je gelukkig bent en het humeur een boost geeft omdat het neuropeptiden in de hersenen activeert die de afgifte van dopamine, endorfine en serotonine stimuleren en stressverhogende hormonen zoals cortisol en adrenaline verminderen.
Maar dat is niet alles – het kan ook helpen bij de gezondheid van het hart, de bloeddruk verlagen, het immuunsysteem stimuleren, pijn verminderen en misschien zelfs helpen om langer te leven, naast dat je er aantrekkelijker uitziet en zelfverzekerder overkomt! Glimlachen is dus goed voor je gezondheid. In dat geval moeten we ervoor zorgen dat onze mondgezondheid goed is, zodat we ons niet schamen om vaker te glimlachen.
Onze tanden zijn essentieel voor ons leven, ze helpen ons om voedsel te kauwen, zodat we het gemakkelijker kunnen verteren en de voedingsstoffen kunnen opnemen die essentieel zijn voor de gezondheid van ons lichaam. Tanden helpen ons om woorden te vormen en geven vorm en structuur aan ons gezicht. Onze tanden zijn ook noodhulpmiddelen om draden te breken, pakjes en sachets open te scheuren en zelfs flessen te openen, hoewel we dat op eigen risico doen. En natuurlijk helpen ze onze gezichtsuitdrukkingen te vormen en een “hallo” te glimlachen.
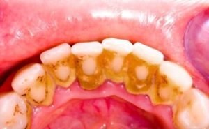
Tandplak is de grootste vijand van onze tanden en tandvlees. Plak is een doorschijnend plakkerig laagje dat zich vormt op het oppervlak van de tanden, vol met bacteriën die zuren produceren na het eten of drinken. Als de wortels worden blootgesteld als gevolg van terugtrekkend tandvlees, een symptoom van tandvleesaandoeningen, kan zich ook tandplak vormen op de wortels van de tanden en zelfs de botten afbreken die de tanden ondersteunen.
Als het niet wordt aangepakt, zal de plak uiteindelijk verharden tot tandsteen, dat zichtbaar is op de tanden. Plaque houdt de zuren in contact met het tandglazuur en kan tandbederf veroorzaken door middel van kleine gaatjes, waardoor vullingen nodig zijn, en als het tandbederf niet wordt behandeld, kan de zenuw geïnfecteerd raken, gepaard gaande met ernstige pijn, of kan zelfs een abces ontstaan, waarvoor een pijnlijke wortelkanaalbehandeling nodig is of tandverlies tot gevolg heeft.
Hoewel ons tandvlees ondergeschikt lijkt aan onze tanden, is het zeker zo belangrijk. Het is ons tandvlees dat onze tanden op hun plaats houdt, en ons tandvlees kan onze algehele gezondheid beïnvloeden.
Een opeenhoping van tandplak en tandsteen accumuleert schadelijke bacteriën die op hun beurt ontstekingen van het tandvlees kunnen veroorzaken, wat kan leiden tot tandvleesbloedingen en gingivitis. Gezwollen tandvlees veroorzaakt ongemak en vaak pijn bij het kauwen, en kan een slechte smaak in de mond en halitose veroorzaken – een slechte adem, die niet weggaat.
Gingivitis kan in een vroeg stadium worden teruggedraaid door de tanden steeds goed te poetsen en te flossen om de bacteriën te verwijderen. In de mond bestaat, net als in de darm, een complex ecosysteem van bacteriën, zowel goede als slechte. De laatste is bekend als microbioom, een onbalans in de bacteriën vermindert de bescherming van het tandvlees en zorgt ervoor dat ziekteverwekkers kunnen binnendringen, wat uiteindelijk kan leiden tot parodontitis. Hierdoor zwelt het tandvlees op en wijkt van de tanden zodat de wortels bloot komen te liggen. Parodontitis is de belangrijkste oorzaak van tandverlies bij volwassenen.
Wetenschappers begrijpen nu dat het niet de bacteriën zijn die tandvleesaandoeningen veroorzaken, maar een ontsteking dat de natuurlijke afweer van het lichaam is. Het immuunsysteem initieert een reactie door witte bloedcellen naar het gebied te sturen om de bacteriën te vernietigen, maar beschadigt ook het tandvlees.
Het slechte nieuws is, dat naar schatting ongeveer 90% van de volwassenen ouder dan 30 jaar lijdt aan een vorm van tandvleesaandoening, en erger nog, ongeveer 65% van jongeren vanaf 16 jaar. Verontrustender is de impact van parodontitis op de algehele gezondheid van het lichaam. Onbehandeld kan het ertoe leiden dat het immuunsysteem extreem defensief wordt, wat op zijn beurt het risico op allergische reacties kan vergroten, of er zelfs toe kan leiden dat het immuunsysteem alles dat het lichaam binnenkomt als allergeen ziet.
In het ergste geval kan het de kans op het ontwikkelen van een auto-immuunziekte vergroten, waardoor het lichaam ook gezonde cellen aanvalt. Bovendien kunnen onbehandelde tandvleesaandoeningen ervoor zorgen dat bacteriën in de bloedbaan terechtkomen, wat verdere gezondheidscomplicaties veroorzaakt. Ontsteking in de mond moet koste wat kost worden vermeden, aangezien ontstekingen verband houden met een aantal ernstige chronische ziekten.
Bacteriën kunnen zich via de bloedbaan verder verspreiden en zich hechten aan het hartvlies (de binnenbekleding van de hartkamers), ontstekingen veroorzaken en een aandoening die bekend staat als bacteriële endocarditis. Hoewel behandeling met antibiotica voor velen succesvol is, kan in andere gevallen een operatie nodig zijn om beschadigde hartkleppen te repareren of te vervangen en om aanhoudende infecties te verwijderen. De bacteriën produceren eiwitten die voor het verkleven van bloedplaatjes kunnen zorgen, die stolsels vormen, slagaders verstoppen, een optimale doorstroom van bloed verhinderen en zo voorkomen dat het hart voldoende voedingsstoffen en zuurstof krijgt.
Ernstige verstoring van de bloedstroom kan leiden tot een beroerte of hartaanval. Onderzoek heeft aangetoond dat mensen met tandvleesaandoeningen bijna tweemaal zoveel risico lopen op coronaire hartaandoeningen. Daartegenover is ook aangetoond dat er een grotere kans is op het ontstaan van tandvleesaandoeningen bij mensen die eerder een beroerte hebben gehad.
Ook de longen kunnen besmet raken met bacteriën vanuit de mond. Dit kan leiden tot longontsteking en andere aandoeningen of infecties van de luchtwegen, of bestaande aandoeningen verergeren. Met name voor ouderen, die in het algemeen kwetsbaarder zijn voor de gevolgen van aandoeningen aan de luchtwegen, lopen meer gevaar, dus is het van vitaal belang dat een tandvleesaandoening onder controle wordt gehouden.
Het hebben van parodontitis verhoogt het risico op een vroeggeboorte en het daarmee gepaard gaande lage geboortegewicht. Aangenomen wordt dat parodontitis de hormonen beïnvloedt en een premature bevalling kan veroorzaken. In feite lopen vrouwen met tandvleesaandoeningen driemaal zoveel risico op een vroeggeboorte, en de kans van één op vier dat de bevalling vóór 35 weken zal plaatsvinden.
Daarnaast heeft onderzoek aangetoond dat ook het risico op het ontstaan van diabetes toeneemt door tandvleesaandoeningen. En tegengesteld, als gevolg van het verhoogde risico op infecties, heeft iemand met diabetes meer kans op het ontwikkelen van tandvleesaandoeningen, wat ook de bloedsuikerspiegel verhoogt, en door een langzamere wondgenezing is de kans groter dat het tot tandverlies leidt. Hetzelfde onderzoek heeft uitgewezen dat de behandeling van parodontitis de ernst van diabetes vermindert.
Nog een reden om goed voor je tandvlees te zorgen? Geschat wordt dat ieder met gezond tandvlees 70% minder kans heeft om de ziekte van Alzheimer te krijgen dan mensen met een lange geschiedenis van tandvleesaandoeningen.
Tot zover het slechte nieuws. Wat kunnen we doen om onszelf te beschermen tegen parodontitis? Het goede nieuws is dat tandvleesaandoeningen en tandbederf bijna volledig te voorkomen zijn. Poets je tanden minstens twee keer per dag en flos voor het slapengaan om voedsel en bacteriën tussen de tanden te verwijderen. Vermijd zoveel mogelijk suikerhoudende voedingsmiddelen en dranken om de kans op tandbederf te verkleinen. Verkleuring van tanden door tabak of het drinken thee, koffie of rode wijn is slechts een vorm van slijtage aan de tanden en is niet schadelijk voor hun gezondheid, hooguit voor je zelfvertrouwen! Hoewel het goed is om na het eten of drinken de tanden te poetsen, om tandplak te verwijderen en vlekken te voorkomen, mag je dit echter nooit doen tot zeker een uur later, aangezien zuren het glazuur verzwakken en beschadigd kunnen raken door overdreven of agressief poetsen. Bezoek de tandarts minstens elk half jaar voor een controle en om eventueel opgebouwd tandsteen te verwijderen. Mensen die roken of drinken, hebben meer kans op terugtrekkend tandvlees, probeer dus zo mogelijk te minderen of te stoppen, en zorg ervoor dat er geen tandartsbezoek wordt gemist, omdat deze het probleem vroegtijdig kan ontdekken en de nodige voorzorgsmaatregelen kan nemen.
Ook hebben mensen die tandenknarsen zeer waarschijnlijk last van wijkend tandvlees en een verhoogde gevoeligheid van tanden en tandvlees, dus een gebitsbeschermer kan dit probleem helpen verlichten.
Natuurlijke middelen geven ons een natuurlijke manier om de bacteriën te bestrijden die leiden tot tandbederf en tandvleesaandoeningen, en kunnen worden toegevoegd aan je gebruikelijke gebitsverzorging:
Olie trekken
Voor velen is deze huidige trend wellicht nog niet zo bekend, maar is zeker geen nieuw concept, omdat het een onderdeel is van de Ayurvedische geneeskunde, een traditioneel Indiaas systeem, dat meer dan 3000 jaar oud is. Het idee is om een natuurlijke plantaardige olie als natuurlijk mondwater te gebruiken, om er 15-20 minuten je mond mee te spoelen, het tussen de spleten van de tanden te persen, al het vuil los te maken en te profiteren van de natuurlijke ontstekingsremmende, antibacteriële en schimmeldodende eigenschappen, voordat je het uitspuugt. De olie trekt bacteriën en ziektekiemen aan die tandplak, tandvleesaandoeningen en slechte adem kunnen veroorzaken, en neutraliseert de geur van geconsumeerd voedsel. Olie trekken helpt ook om het tandvlees te hydrateren en de productie van speeksel te verhogen, wat bacteriën verder kan verminderen.
Kokosolie
Kokosolie is bijna volledig gemaakt van een middellange keten triglyceriden, waarvan 50% laurinezuur, waardoor het de rijkste bron van laurinezuur is die de mens kent. Laurinezuur is effectiever in het doden van bacteriën, schimmels en virussen dan elk ander verzadigd vetzuur. Eén studie vergeleek het vermogen van 30 verschillende vetzuren om bacteriën te doden, en vond dat laurinezuur het meest effectief is, wat betekent dat het de schadelijke pathogenen die tandbederf, tandvleesaandoeningen en slechte adem veroorzaken, effectief kan doden en de opbouw van tandplak kan verminderen.
Het is ook bekend dat het streptococcus mutans en lactobacillus, de belangrijkste oorzaken van tandbederf, doodt. Het bleek zelfs net zo effectief te zijn als een van de actieve ingrediënten die in commerciële mondspoelingen worden gebruikt: in een onderzoek onder 60 deelnemers met tandplak geïnduceerde tandvleesaandoeningen, bleek olie trekken met kokosolie de vorming van tandplak aanzienlijk te verminderen en tekenen van gingivitis te laten afnemen. Bovendien was de plaque significant afgenomen na 7 dagen en bleef afnemen gedurende de onderzoeksperiode van 30 dagen. Aan het einde van het onderzoek was de plaque met 68% afgenomen en de gingivitis score met ongeveer 56%.
Sesamolie
Sesamolie is de traditionele olie die in Ayurvedische geneeskunde wordt gebruikt voor het olie trekken, misschien vanwege het hoge calciumgehalte – het eenmaal daags innemen van één theelepel sesamolie kan het lichaam voorzien van de aanbevolen calciuminname. Olie trekken met sesamolie is onderwerp geweest van vele onderzoeken, die alle vaststelden dat sesamolie even effectief is als een commercieel mondwater voor het verminderen van de bacteriën die kunnen leiden tot tandplak, gingivitis en slechte adem. Net als kokosolie is sesamolie effectief tegen de soorten bacteriën die de belangrijkste oorzaak van tandplak zijn.
Hoe het werkt:
Neem een eetlepel gekozen olie in de mond (sesamolie heeft een lichte consistentie, maar kokosolie kan smakelijker zijn). Spoel de olie 15-20 minuten in de mond en tussen de tanden. Omdat 15-20 minuten een eeuwigheid kunnen lijken, vooral omdat speeksel zorgt voor toename van het volume, begin je het beste met slechts 5 minuten en bouw je de tijd elke dag verder op. Slik de olie niet door, aangezien het de schadelijke bacteriën bevat, en spuug het uit in toilet of prullenbak om ervoor te zorgen dat het de gootsteen niet verstopt (vooral kokosnoot, dat stolt bij contact met koud water). Poets vervolgens je tanden zoals gebruikelijk.
Er wordt beweerd dat olie trekken ook kan helpen om de tanden witter te maken door de vlekken te verwijderen, maar er zijn geen wetenschappelijke gegevens beschikbaar om dit te ondersteunen. Indien je deze methode echter wilt gebruiken voor het bleken van de tanden, kun je een paar druppels etherische olie van sinaasappel toevoegen, die d-limoneen bevat, een stof waarvan bekend is dat deze helpt bij het bleken van tanden.
Of voeg een paar druppels sinaasappelolie toe aan een oplossing van kokosolie en bakpoeder en poets je tanden met deze oplossing, hoewel dit beperkt moet worden tot twee keer per week, vanwege de schurende werking van bakpoeder op het glazuur.
Waarschuwing – je kunt lezen over het reinigen van de tanden met een oplossing van bakpoeder en azijn, en hoewel dit vlekken in badkamer en keuken effectief kan verwijderen, wordt het niet aanbevolen voor de tanden, omdat het zuur in de azijn het glazuur op de tanden aantast.
Er zijn ook een aantal andere essentiële oliën die kunnen worden toegevoegd aan de methode van olie trekken, of zelfs aan je gebruikelijke tandpasta, om te profiteren van hun therapeutische voordelen. Slik een oplossing met essentiële oliën nooit in!
Essentiële olie van Kruidnagel
Kruidnagelolie wordt al lang gebruikt als een huismiddeltje tegen kiespijn. Eugenol, een verbinding in kruidnagel met verdovende en antibacteriële eigenschappen, heeft sinds de 19e eeuw een plaats in de tandheelkunde. Kruidnagelolie is ook schimmeldodend en ontstekingsremmend en klinisch onderzoek bevestigt het vermogen om tandpijn en slechte adem te verlichten, tandvleesaandoeningen te verminderen, en mondinfecties te bestrijden.
Voeg bij kiespijn enkele druppels kruidnagelolie toe aan een theelepel dragerolie van bijvoorbeeld kokosnoot of sesam, vermeng het goed en breng het met behulp van een wattenschijfje aan op de zere plek, steeds gedurende enkele minuten laten werken. Herhaal indien nodig.
Essentiële olie van Kaneel
Kaneel is tegenwoordig een ingrediënt in tandpasta’s. Het is antibacterieel, schimmeldodend, antimicrobieel en antiseptisch. Verschillende onderzoeken hebben aangetoond dat kaneel effectief is tegen streptococcus mutans, een bacterie die de meest voorkomende oorzaak is van tandbederf en glazuurerosie. Een aantal onderzoeken hebben de doeltreffendheid ervan aangetoond tegen enterococcus faecalis, een andere veelvoorkomende oorzaak van tandvleesaandoeningen, en komt vooral voor bij mensen die eerder een wortelkanaalbehandeling hebben ondergaan.
Kaneelolie is ook effectief tegen candida, die verantwoordelijk is voor spruw, en kan bovendien biofilm voorkomen, een laagje bacteriën of schimmels die zich op de tanden en in de mond vormt, en kan zich ontwikkelen tot tandplak en tandvleesaandoeningen als het niet wordt behandeld. Vanwege het vermogen om de bloedcirculatie te stimuleren, is het bekend dat kaneelolie bijdraagt aan gezond tandvlees.
Essentiële olie van Eucalyptus
Eucalyptusolie heeft pijnstillende, ontstekingsremmende, antibacteriële en antiplaque eigenschappen, waardoor het volgens onderzoek tandvleesaandoeningen en tandbederf effectief kan bestrijden en een slechte adem elimineert.
Essentiële olie van Ylang-ylang
Ylang-ylang, vooral bekend om het gebruik in cosmetische industrie en aromatherapie, bezit antibacteriële en ontstekingsremmende eigenschappen. Het remt de biofilm en bestrijdt zo effectief tandvleesaandoeningen en tandbederf, en doodt de bacteriën die bijdragen aan een slechte adem.
Essentiële olie van pepermunt
Waarschijnlijk de meest gebruikte olie in mondverzorgingsproducten. Pepermuntolie heeft antibacteriële, antimicrobiële en schimmelwerende eigenschappen. Het kan de biofilm, orale candida en bacteriën die een slechte adem veroorzaken, remmen. En natuurlijk heeft pepermuntolie een verfrissende, opbeurende geur en smaak.
Zorg dus voor je gebit en algehele gezondheid.
Nog een extra stimulans – onderzoek wees uit dat mensen ouder dan 70 jaar, met 20 of meer eigen tanden, een langere levensverwachting hebben dan mensen met minder tanden!!!






